Η Kristin και ο Jacob Tyler ήταν ενθουσιασμένοι όταν έμαθαν ότι περιμένουν παιδί τον Σεπτέμβριο του 2023. Το ζευγάρι από την Αλεξάνδρεια της Λουιζιάνα είχε ήδη έναν γιο ενός έτους και ανυπομονούσε να κάνει κι άλλο ένα παιδί.
Ωστόσο, κατά τον υπερηχογράφημα στις 20 εβδομάδες της εγκυμοσύνης, τον Φεβρουάριο, η Kristin και ο Jacob ενημερώθηκαν ότι το μωρό τους μπορεί να έχει δισχιδή ράχη. «Δεν ήξερα καν τι ήταν αυτό», θυμάται η Kristin, 23 ετών. «Πανικοβλήθηκα».
Η πραγματική διάγνωση για τον σπάνιο όγκο
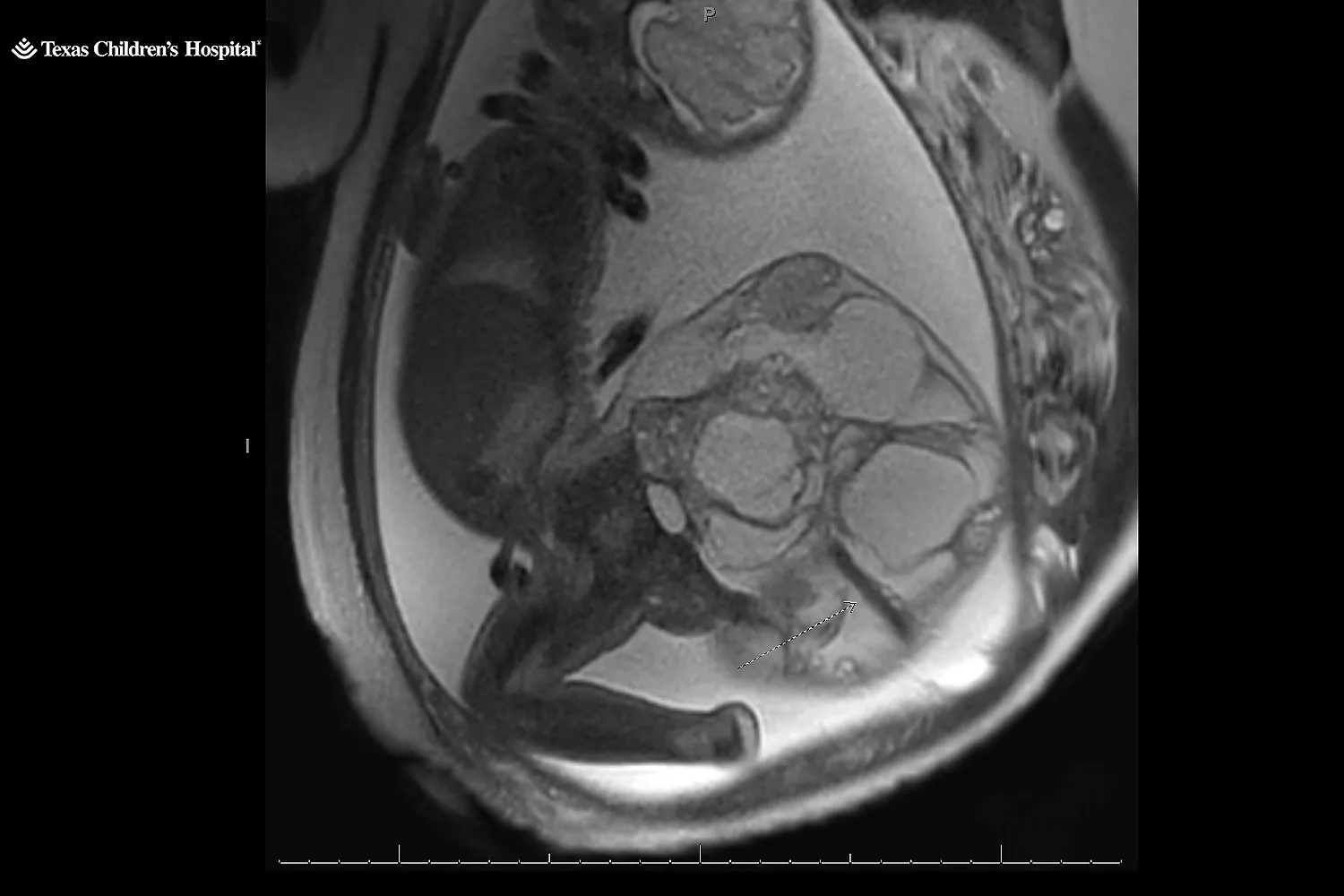
Την επόμενη μέρα, ένας ειδικός διέγνωσε ότι το κοριτσάκι τους δεν είχε δισχιδή ράχη, αλλά ένα σπάνιο εμβρυϊκό όγκο, το ιεροκοκκυγικό τεράτωμα, που σχηματίζεται από τον κόκκυγα του μωρού. Το ιεροκοκκυγικό τεράτωμα εμφανίζεται σε μία στις 20.000 γεννήσεις. Το ζευγάρι παραπέμφθηκε στο Texas Children’s Pavilion for Women στο Χιούστον για να παρακολουθείται από εξειδικευμένη ιατρική ομάδα.
Τι είναι το ιεροκοκκυγικό τεράτωμα
Ταξίδεψαν 245 μίλια από το σπίτι τους για να συναντήσουν τον Dr. Ahmed Nassr, ειδικό σε εμβρυομητρική ιατρική και χειρουργό στο Texas Children’s Pavilion for Women. Ο Nassr τους εξήγησε ότι ο όγκος ήταν «πολύ σπάνιος». Μάθανε ότι εμφανίζεται συχνότερα σε κορίτσια παρά σε αγόρια και ότι συνήθως είναι καλοήθης. Ωστόσο, οι γιατροί δεν γνωρίζουν πάντα γιατί συμβαίνει.
«Είναι απλώς κακή τύχη», λέει ο Nassr. Οι όγκοι αυτοί μπορούν να γίνουν πολύ μεγάλοι και, καθώς αναπτύσσονται, μπορεί να δημιουργήσουν μεγάλα αιμοφόρα αγγεία. «Στην ουσία κλέβουν από το μωρό το αίμα που χρειάζεται», εξηγεί ο Nassr. «Η καρδιά του μωρού πρέπει να δουλέψει πολύ σκληρά» για να ανταποκριθεί, κάτι που μπορεί να οδηγήσει σε καρδιακή ανεπάρκεια.
Τον Μάρτιο, η Kristin μετακόμισε προσωρινά στο Χιούστον με τον γιο της, William και τη μητέρα της, ώστε οι γιατροί να μπορούν να παρακολουθούν το μωρό. Ο Jacob, μηχανικός, έμεινε στη Λουιζιάνα για να δουλέψει. Η Kristin θυμάται: «Ήμουν πολύ φοβισμένη. Μετά από τόσες επισκέψεις στους γιατρούς και βλέποντας τον όγκο στον υπέρηχο, ήταν τρομακτικό».
Αυτό που έκανε την κατάσταση χειρότερη ήταν ότι δεν είχε φίλους ή συγγενείς που να είχαν ακούσει ποτέ για τη διάγνωση. «Δεν είχα κανέναν να απευθυνθώ για να μιλήσω γι’ αυτό», λέει. «Ένιωθα σαν να είμαστε στο σκοτάδι».
Η δύσκολη γέννα και η χειρουργική επέμβαση στο μωρό
Στις 21 Μαΐου, στις 34 εβδομάδες, η Kristin γέννησε με καισαρική. Η μικρή Adalida γεννήθηκε με έναν όγκο 16 εκατοστών, που ζύγιζε περίπου 1,8 κιλά – σχεδόν τα δύο τρίτα του σωματικού της βάρους.
Συνολικά, το μωρό και ο όγκος ζύγιζαν πάνω από 4,5 κιλά. Ο Nassr περιγράφει το μέγεθος του όγκου ως «λίγο μικρότερο από ένα καρπούζι, αλλά μεγαλύτερο από ένα πεπόνι». «Ήταν ένας μεγάλος όγκος, γι’ αυτό ανησυχούσαμε τόσο πολύ», λέει.

Η επιτυχημένη χειρουργική επέμβαση
Η Kristin είδε την Adalida μόνο μέσα από μία κάμερα στο χειρουργείο πριν τη μεταφέρουν στη μονάδα εντατικής θεραπείας νεογνών (NICU).
«Την είδα για ένα δευτερόλεπτο», λέει. Οι γιατροί ήδη συζητούσαν για την απαραίτητη χειρουργική επέμβαση. «Μόλις την είχα γεννήσει και έκλαιγα, ήμουν αναστατωμένη», λέει η Kristin.
Ο σύζυγός της κάθισε δίπλα της στο κρεβάτι και προσευχήθηκαν μαζί: «Θεέ μου, σε παρακαλούμε. Άφησέ την να τα καταφέρει». Δύο μέρες μετά, η ομάδα παιδοχειρουργών κατάφερε να αφαιρέσει επιτυχώς τον όγκο. Η Adalida πήγε στο σπίτι την προγραμματισμένη ημερομηνία τοκετού, στις 29 Ιουνίου.
Σήμερα, το μικρό κοριτσάκι αναπτύσσεται φυσιολογικά. «Είναι ένα χαρούμενο, υγιές μωρό», λέει η Kristin. «Είναι καλά. Έχει θεραπευτεί».
Μάλιστα, η Adalida έχει καλύψει όλα τα αναπτυξιακά ορόσημα. «Τη λέμε το θαυματουργό μωρό μας», λέει η Kristin. «Τη λέμε αγγελάκι μας. Υπήρχαν τόσοι πολλοί άνθρωποι που την αγάπησαν. Είμαι τόσο ευγνώμων».

Η επόμενη φάση: Κοσμητική επέμβαση
Όταν η Adalida φτάσει την ηλικία των δύο ή τριών ετών, η οικογένεια θα επιστρέψει στο Texas Children’s για κοσμητική επέμβαση.
Δεδομένου ότι ο όγκος αφαιρέθηκε από τη βάση της σπονδυλικής της στήλης, έμεινε μόνο μια επίπεδη επιφάνεια. «Ουσιαστικά, σχεδόν ολόκληρη η λεκάνη της είναι επίπεδη, από την πλάτη μέχρι τα πόδια της», λέει η Kristin.
Οι γιατροί θα κάνουν κοσμητική επέμβαση για να την κάνουν να μοιάζει με τους άλλους ανθρώπους. «Μου είπαν ότι όλα τα ιατρικά θέματα έχουν λυθεί και ότι πρόκειται απλώς για κοσμητική διαδικασία».
Η πίστη είναι αυτό που στήριξε την οικογένεια σε αυτό το δύσκολο ταξίδι, λέει η Kristin, καθώς και η υποστήριξη από τους φίλους και την οικογένειά τους.
«Δεν είστε μόνοι», λέει. «Για εμάς, ένιωθε σαν να το περνάμε όλο αυτό μόνοι μας. Είμαι τόσο ευγνώμων που είχαμε την υποστήριξη που είχαμε. Υπήρχαν έρανοι από ανθρώπους που δεν γνωρίζαμε καν». Προσθέτει: «Ήταν για μένα μια αποκάλυψη πόση αγάπη και ευγνωμοσύνη προσφέρουν οι άνθρωποι και πόση στήριξη δίνουν όταν περνάς κάτι δύσκολο».